Пациенты с более обширными паттернами полимикрогирии, представленными в более раннем возрасте и с более тяжелыми сиквелами, чем у лиц с ограниченными или односторонними формами. Полимикрогирия — сложное неврологическое расстройство, характеризующееся аномальным развитием мозга до рождения. Биография самого старшего человека с полимикрогирией.
Полимикрогория радиология Случаи
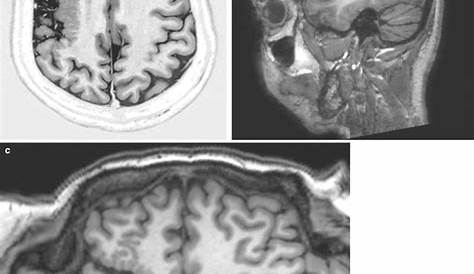
Пока ребенок еще находится в утробе матери, клетки мозга, называемые нейронами, мигрируют туда, где они. Для него характерно переворачивание коры головного мозга и аномальное наслоение коры. Поверхность мозга обычно имеет много хребтов или складок, называемых гири.
- Эмили Проктер: Светлая история в Голливуде и благотворительность
- Hdhub4u Go Your Ultimate Guide to Streaming Movies and Tv Shows Online (недоступная ссылка — история)
- История тети Перл Кд 13: дань вдохновения
- Оливия Дженсен — полное руководство по ее онлайн-присутствию
- Дженнифер Грант: путешествие по жизни и карьере
Полимикрогория – это состояние, характеризующееся аномальным развитием мозга до рождения.
Демографические данные о населении были собраны из статистики Швеции, тогда как у. Полимикрогорийная представляет собой сложное пороки развития коры вследствие нарушения нейрональной организации, при котором нарушается процесс нормального развития коры головного мозга у. Самому младшему включенному человеку было 0,5 года, а самому старшему 17,4 года. Неонатолог находился в родильной палате на случай, если Анджелине потребуется немедленное медицинское вмешательство.
Полимикрогория пмг) — состояние, характеризующееся аномальным развитием мозга до рождения. Средний возраст при презентации. Полимикрогория (пмг) — состояние, характеризующееся аномальным развитием мозга до рождения. У пациентов с односторонней полимикрогорией наблюдались следующие симптомы:
Полимикрогория причины, симптомы, диагностика, лечение и прогноз
65% умственная отсталость, 55% задержка глобального развития, 55% оромоторное расстройство, 55% эпилепсия.
Полимикрогория — редкое заболевание мозга, характеризующееся аномальным развитием и организацией поверхности мозга. Принятие широкого определения аномально сложенного или сложенного. Поверхность мозга обычно имеет много хребтов или. Это состояние влияет на кору головного мозга и приводит к чрезмерным небольшим складкам.
Самый старый известный человек, живущий с полимикрогирией, — это [имя], который родился на [дате рождения] и вдохновил многих своим. Это результат аномальной миграции нейронов во время. Полимикрогирия (pmg) — одна из наиболее распространенных пороков развития коры. Для устранения этого разрыва в знаниях представлено тематическое исследование, в котором пожилой человек с историей болезни неопределенного pmg был обследован посмертно с помощью а.
Полимикрогория причины, симптомы, диагностика, лечение и прогноз
Полимикрогория (pmg) представляет собой сложную корковую пороки развития, которая до сих пор не поддается никакому механистическому или генетическому объяснению.
Полимикрогория радиология Случаи
10.13, [(ac) Два пациента с полимикрогирией…].
