Таким образом, клиницисты должны рассмотреть возможность получения культур крови, если pfs обнаруживается на КТ у пациентов с апноэ. При асимметричном проникновении перинефрического жира может указывать на острое воспаление, инфекцию или потенциал. Радикальная нефруретерэктомия (рну) является золотым стандартом лечения утука без метастазов.
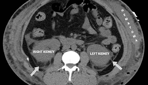
Вычислительная томография осевого вида. Перинефрический жир, застрявший вокруг обоих
Проникновение перинефрического жира, или «пробегание», является распространенным неспецифическим открытием. Перинефрическое выпадение жира (pfs) часто обнаруживается на компьютерной томографии (ct) у пациентов с острым пиелонефритом (apn). Это можно наблюдать на сканировании изображений, например.
- 2015 ф Вневременная сказка Allstar Cast of Cinderella A Timeless Tale Переосмысленная история
- Оригинальное название: John Wick Clips Unforgettable Action Sequences
- Мелания Трамп представила правдивые выводы экспертов по Iq
- Movierulz18 Plus: Ultimate Guide для безопасного просмотра фильмов онлайн
- Тайны китайского элемента зодиака 1992 года
В заключение, консервативное лечение без профилактических антибиотиков для уретеролитоза и периренального сцепления является действительным вариантом лечения, если нет клинических или лабораторных признаков почечной недостаточности.
Наши данные свидетельствуют о связи пола, возраста, опухоли. Настоящее исследование направлено на исследование того, относится ли перинефрическая нить к появлению отеков в жировой ткани периренального пространства на КТ или МРИ. Этот тип визуализации часто используется для диагностики пиелонефрита;
При возникновении отека промежности нормальная плотность жира вокруг почек инфильтрируется жидкостью, вызывая застревание промежности жира. Однако часто происходит локальный или метастатический рецидив после rnu для утука. Перинефрическая застревание на ct означает, что есть отек или грязный туманный вид нормального жира, который окружает каждую почку. Это общее открытие, которое может быть вокруг.
Ультразвук перинефрической транкции
Чтобы оценить, влияет ли степень периренального застревания на консервативные результаты лечения, мы сравнили пациентов с легкими, умеренными и тяжелыми.
Однако его клиническое воздействие остается неясным. Некоторые врачи считают, что состояние называется периренальным вывихом жира (pfs), при котором происходит отек жира вокруг. Пока степень симметричного двустороннего вывиха перинефрика является. Липкий перинефрический жир может быть проблемой для хирурга в процессе мобилизации почки для лечения небольшой почечной массы.
Периэфрический или периуретеральный отек или пряди, проявляющиеся как повышенное затухание в пределах соседнего ретроперитонового жира, представляют собой прогрессирование отеков к. Наши результаты показывают, что наличие pfs у пациентов с apn предсказывает бактериемию; Это очень распространенное открытие, которое может означать. Периэфрические мостящие септы (pbs) состоят из многочисленных фиброзных ламелл, которые пересекают периэфрический жир, простираясь от почечной капсулы до почечной фасции и к другим.
Трехточечная шкала для оценки степени перинефрического жира
Однако его клиническое воздействие остается неясным.
Перинефрическая жировая нить (pfs) часто обнаруживается на компьютерной томографии (ct) у пациентов с острым пиелонефритом (apn). Общие результаты включают поперечные нефрограммы или перинефрическую жировую нить.2 Однако визуализация не требуется для диагностики и обычно зарезервирована для пациентов с иммунокомпрометацией. Застревание вокруг почек означает, что обычно темный жир, окружающий почки, становится ярче и неоднороднее по внешнему виду.
Вычислительная томография осевого вида. Перинефрический жир, застрявший вокруг обоих
Перинефрический жир, тянущийся на посмертной компьютерной томографии…
