В области параспинального отдела может возникать большое разнообразие патологий, происходящих либо из мягких тканей параспинального отдела, либо из позвоночного столба. Ретролистез c4 на c5.occiput/c1/c2: Если превертебральные мягкие ткани были опухшими, это может указывать на то, что был перелом, который рентгеновский луч не улавливал.
Травмы мягких тканей 3. Paraspinal Emergency Medicine Journal
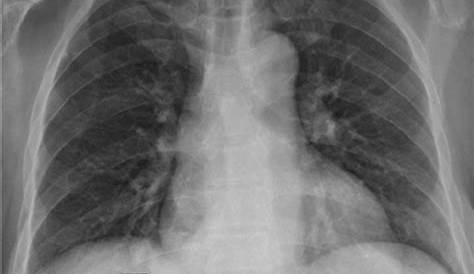
В области параспинального отдела может возникать широкий спектр патологий, происходящих либо из мягких тканей параспиналя, либо из позвоночного столба. Он может выявить параспинальную массу, видимую только смещенными параспинальными линиями (рис. Наиболее распространенные доброкачественные параспинальные новообразования включают липомы, фибробластные опухоли и доброкачественные опухоли периферической нервной оболочки).
- Как Nike Mac атакует с возрастом безвременная иконка
- Hudhub4u — Ваш лучший путеводитель по бесшовным путешествиям
- Замечательное путешествие Рассела Уилсона: достижения и влияние
- В истории мужа Кристиана Альфонсоса более пристальное внимание к их совместной жизни
- Лилиан Филлипс Замечательная жизнь
Параспинальная масса может быть вызвана большим количеством состояний, включая абсцесс, неспецифические поражения и доброкачественные и злокачественные состояния, включающие мезенхимальные / мягкие ткани.
Тонкие иглы аспирации массы интерпретировались как меланома. При чтении простой рентгенографии грудной клетки следует специально смотреть на спинномозговые элементы, включая параспинальные линии и мягкие ткани, как на боковой, так и на лобной перспективе. Наиболее распространенные параспинальные доброкачественные новообразования включают липомы, фибробластные опухоли и доброкачественные опухоли периферической нервной оболочки. Фраза «мягкие ткани незаметны» играет значительную роль в описании состояния определенных структур тела.
В этом случае в отчете говорится о мышцах и. В параспинальной области может возникнуть широкий спектр патологий, происходящих либо из мягких тканей параспина, либо из позвоночного столба. Общее обследование кожи тела не выявило каких-либо подозрительных пигментных поражений. Нормальная грубоанатомия глубоких мышц и фасции угревой анатомии традиционно делят мускулатуру шейки матки на несколько групп:
Травмы мягких тканей 3. Paraspinal Emergency Medicine Journal
Это означает, что нет никаких аномалий или относительно результатов в мягких тканях, окружающих позвоночник.
Непримечательно в медицинских терминах означает нормальный.Привет ~ это означает, что есть некоторые необычные кальцифи-изображения, выявленные экстраплевральной параспинальной массой в области t8. Эти критерии должны помочь в решении, требуется ли дальнейшая визуализация, когда сомнительные аномалии встречаются на лобных рентгенограммах грудной клетки.
Вместо того, чтобы фокусировать глаза только на внутриспинальных структурах или костном позвоночнике (туннельное зрение), радиологи должны тщательно изучить все серии изображений для поражений в паравертебральных мягких тканях и даже за их пределами, таких как ретроперитонум, легкие и мягкие ткани. Привет, что конкретно означает дистрофическая оссификация задних параспинальных мягких тканей? (а, b) обнаружение параспинальной массы на рентгенографии. Диагноз многих таких поражений может быть сделан с легкостью, особенно когда он коррелирует с клиническими и радиологическими результатами.
Травмы мягких тканей 3. Paraspinal Emergency Medicine Journal
Любая параспинальная мягкая ткань, наблюдаемая в правой послеродовой нижней мягкой ткани, является ненормальной.
Отсутствие отеков является обнадеживающим признаком. Наиболее распространенные доброкачественные новообразования параспинального типа включают липомы, фибробластные опухоли и доброкачественные опухоли периферических нервов.
Новая система градации для повреждения шейных параспинальных мягких тканей после
Рентгенография грудной клетки показывает аномальную правую параспинальную мягкую ткань
