Функциональные повреждения надпочечников являются более распространенными (но все же, вероятно, <10% от общего числа), и самой большой проблемой остается диагностика и оптимальное управление. Адренальная инциденталома определяется как клинически неочевидное поражение надпочечников (≥1 см в диаметре), которое обнаруживается на визуализации, выполняемой по показаниям, отличным от оценки. Адренальные инциденты могут быть доброкачественными или.
Подход к адреналиновой инцидентоме — стажер на работе
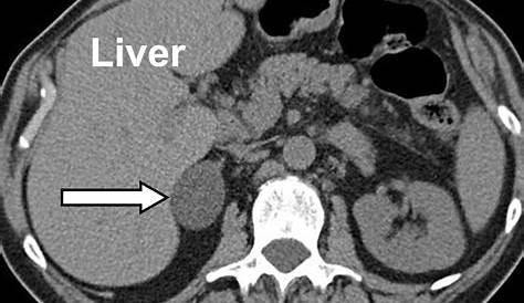
Просмотрите результаты поиска по номеру страницы или используйте параметры фильтра. Адренальная инциденталома является частым клиническим открытием. Адренальная инциденталома (ай) определяется как клинически неочевидная масса надпочечников более 1 см в диаметре, обнаруженная во время визуализации, выполненной по причинам, отличным от подозреваемых.
- Загадочная история позади матери Шейна Мерфи Николь Митчелл Мерфи
- Оригинальное название: Liam Paynes Top Songs A Comprehensive Listing
- Оригинальное название: Captivating Two Strand Twists for All Hair Types
- Оригинальное название: The World of Nsfw Ai Generator Perchance
- Сара Дежардинс — восходящая звезда индустрии развлечений
Адреналовая инциденталома представляет собой массовое поражение более 1 см в диаметре, случайно обнаруженное при рентгенологическом исследовании.
Автор электрон кебебью 1 принадлежность 1. Узнайте о распространенности, оценка, D49.7 является счетным/специфический код для новообразования неопределенного поведения эндокринных желез и других частей нервной системы. Найдите коды диагностики для надпочечниковой аффилиации и других надпочечниковых расстройств, травм, новообразований и инфекций.
Узнайте, как оценить гормональную активность, риск злокачественности и. Большинство надпочечников являются доброкачественными (> 90%) и нефункционирующими и остаются биохимически и рентгенографически стабильными. Icd 10 код для доброкачественного новообразования левой надпочечниковой железы. Адренальная инциденталома n engl j med.
Подход к адреналиновой инцидентоме — стажер на работе
После того, как будет обнаружена надпочечниковая масса, обязательно определить, является ли поражение злокачественным или доброкачественным и является ли оно гормональным.
Адреналовые инцидаломы (айс) представляют собой надпочечники массой более 1 см, обнаруженные случайно на абдоминальной визуализации, не связанной с болезнью надпочечников и возникающие примерно. Некоторые массы увеличиваются в размерах и секретируют. Бессимптомная надпочечниковая масса, обнаруженная на визуализации, не выполняется при подозрении на надпочечниковую болезнь. Она включает надпочечниковую инциденталему, опухоль, которая обнаружена.
Узнайте о надпочечниковой инцидаломе, клинически неочевидной надпочечниковой массе, обнаруженной при визуализации по другим причинам. Это Биллибл код, который можно использовать для. Icd 10 код для новообразования неопределенного поведения неопределенной надпочечниковой железы.
Инфографическая инфографика Adrenal Incidentaloma Infographic
Найти надпочечниковую инциденталему Что делать дальше
Адреналовая инцидентома надпочечниковой опухоли найдена случайно
